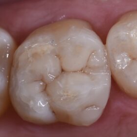
Complex Layering to Rebuild a Broken Down Molar
Layering sequence for tooth 14 (2.6). #Voco #GrandioSO #Kerr #Herculite
Read More
Restoring bombed out carious premolars biomimetically
Deep, deep, deep caries on these compromised premolars. Margin elevation was completed before transitioning to an anatomic sectional matrix system to build the axial walls. I would typically like more […]
Read More
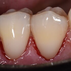
Reinforcing the necks of teeth with abrasion lesions
Class V bangers using #Voco #GrandioSO
Read More
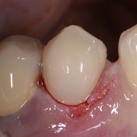
Root insulation restorations to minimize sensitivity
Some subtle root protection due to localized hypersensitivity on this tooth with extreme attachment loss. #Voco #GrandioSO
Read More
Class II replacement with Voco Grandio SO
Class II replacement due to a “composite bubble” cervically and recurrent caries due to this. I could have recontoured the distal of the first premolar… but didn’t. #Voco #GrandioSO
Read More
Your fillings should always try to emulate nature
Light casting onto #2 is a bit easier for visualization. #Voco #GrandioSO
Read More
Wisdom teeth can still be restored to look beautiful!!
Sometimes, it’s really hard to cast light onto the occlusal of #1 – despite this, it is always satisfying to try to recreate nature in the most restricted of spaces. […]
Read More
Class V restoration with GC Essentia U
This old Class V restoration had a marginal defect on the mesial aspect causing sensitivity to cold and acidic fluids. Single shade chameleon restoration using GC Essentia U. A little […]
Read More
Difficult Access Subgingival Lesions Restored
This was a very tricky-to-access region on the upper left canine with subgingival extent of the past “ringbarking”. A combination of rubber dam and extensive no-rubber dam aggressive displacement of […]
Read More
Testdriving a new smile in temporaries
(Afternoon tea pics 1283.2: GC TempSmart) Preps and Provisionals. Looking forward to limited closure of black triangles and social six smile redesign for this lovely 31 year old female. Minor […]
Read More