Composite Veneers to lighten dark root-treated teeth
This dental assistant patient travelled to our practice for restorative lightening after internal bleaching of both 21 and 11 failed. Her goal was to increase the value/brightness of the teeth, […]
Read More
Reconstruction and whitening of heavily-broken down teeth
(Afternoon tea pics 1194.8: Ivoclar ZirCAD Prime Multi | GC Essentia U) P.O.V.: Reconstruction of these heavily broken-down premolars using Ivoclar’s ZirCAD Prime Multi. Slight loss of stain cervically […]
Read More
Dissecting out Cracks in Teeth
Dissecting out the “critical” hairline fractures, which are the ones which extend into dentin. Caries noted on both M and D aspects, removed entirely. Could have removed the one on […]
Read More
Ivoclar ZirCAD Prime Multi on Ti-base
(Afternoon tea pics 1192.3: Ivoclar ZirCAD Prime Multi on Ti-base | Clinicians Choice ASAP Polishers) Implant bridge from #3-5 (16-14) featuring Ivoclar’s ZirCAD Prime Multi on TiBase. Uncovering surgery […]
Read More
Onlay Provisionalization and Bonding
(Afternoon tea pics 1191.3: IPS e-max HT | OpalDam Green | Dermadam) Workflow for onlay provisionalization and bonding. #OpalDam #Ultradent #Ultraetch #Dermadam Ultradent Products, Inc. Ultradent ANZ #TheShinEffect
Read More
Recreating root contours in Class V composite resin
It’s quite a challenge to recreate the furcal concavity often present in Class V non-carious cervical lesions – if we were to restore “over” the area, it results in an […]
Read More
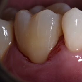
Conservative Root Protection
Conservative root dentin protection using GC Essentia U. I really like these mini Class V bangers. I really like the chameleon effect of this material for Class Vs. #GC #EssentiaU
Read More
Complex reconstruction of a fractured molar in composite
(Afternoon tea pics 1188.3: Voco Grandio SO A2) This patient exhibited a long-standing near-complicated enamel dentin fracture of tooth 15 (2.7)MODP secondary to a rugby accident many years ago. […]
Read More
Whitening before Veneers and Implant Work
Pre-prosthetic whitening is a must to bring the maximum value to the patient to a positive change in their smile and confidence. See our talented hygiene and oral therapy departments […]
Read More