Root exposure and coverage with composite
Provisionalizing these areas of attachment loss in the meantime due to extreme sensitivity to cold. Connective tissue grafting planned for these areas in the future. #GC #EssentiaU
Read More
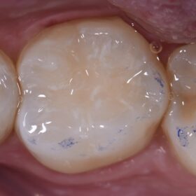
Bioactive fissure sealants
Tested a new Giomer-based resin composite sealant today after an extended fissurotomy on this first molar, called Beautiful Injectable X. Here are the features that I find interesting for use […]
Read More
Clinicians Choice Evanesce Chameleon Effect
Testing out the chameleon effect of Clinicians Choice Evanesce in these moderately-sized restoration replacements. Shades: A3D, A3D, Trans Clear. #CliniciansChoice
Read More
Blocking out dark amalgam staining with composite resin
(Afternoon tea pics 1183.3: Voco Grandio SO | Kerr Herculite Ultra XL2 flowable) My favorite masking liner for dark dentin: Kerr Herculite Ultra XL2 flowable in multiple thin layers. […]
Read More
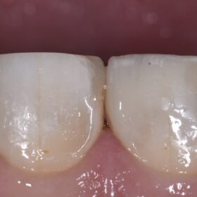
Dental Root Restorations with GC Essentia U
Class V bangers are satisfying #yum with #GC #EssentiaU
Read More
Supercomposite Posterior Restorations Voco Grandio SO
(Afternoon tea pics 1181.3: Voco Grandio SO | Garrison Compositight 3D Fusion) Class II on tooth #19 (3.6)DO. Single shade chameleon effect with Voco Grandio SO. Small fissurotomy/sealant #18(3.7)O. […]
Read More
Amalgam restored teeth transformed to virgin appearance
#Shofu #Beautiful_II_LS Giomer styles.
Read More
Mimicking nature with composite resin
If you take photographs of your work, you will always find something that you wish you did differently. #Voco #GrandioSO #Xtra
Read More
Taking Custom Shading of the Preparation
Taking a stump shade in esthetically-critical cases with all-ceramic restorations is a must. The Natural Die shade guide from Ivoclar comes in corresponding custom die composite materials for your ceramist […]
Read More