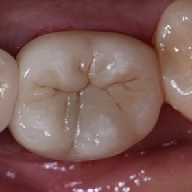
Large premolar rebuilt using a true Modern SuperComposite
(Afternoon tea pics 998.2: Ultradent Mosaic | Peak Universal Bond | Dermadam) Premolar reconstruction flexing Mosaic. 486MPa dentin (the only shade I used). This is virtually the strongest composite […]
Read More
Ultradent Mosaic Class V Example
Happy Monday (is there such a thing), Test driving Ultradent Mosaic A2 (straight up, no EN shade) in Class V situations. Not bad I reckon. Polishability enhanced using Ultradent Diamond […]
Read More
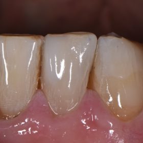
Ultradent Mosaic Class IV Restoration
Class IV on tooth 23 (FDI 3.2) Isolation: Dermadam Guidance: Free-hand with pre-crimped Mylar Bonding system: Total-etch using UltraEtch and Peak Universal Bond Restorative: Mosaic shades EN, A3.5, brown tint […]
Read More
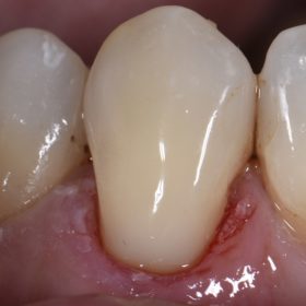
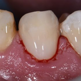
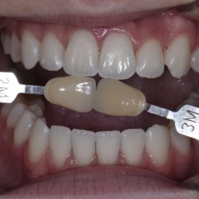
Porcelain Crowns Lithium Disilicate
Impression material: Heraeus Flexitime Restorative: IPS e-max MT #ivoclarvivadent #tamdentalgroup
Read More
Microabrasion: Minimally Invasive Treatment of White Spot Lesions
Minimally-Invasive Approaches to Treatment of Incisor Hypomineralization: Microabrasion Setting up the case for bleaching and resin infiltration: Often, we use transillumination to determine the nature of the hypomineralized lesion position […]
Read More
Striving for Ultimate Biomimicry with SuperComposites
(Afternoon tea pics 994.4: Ultradent Mosaic | Dermadam | Omnimatrix | Peak Universal Bond) What I learned from my first “single shade” restoration with Mosaic: Bonding System: Peak […]
Read More
Ringbark Cavities treated using rubber dam isolation
Continuing the first day test drive of Ultradent Mosaic. Pretty “ringbarked” hypocalcification and stained hypocalcification in this high risk individual with caries on the facial. Shades used: Mosaic EN, A3.5 […]
Read More
Ultradent Mosaic: First Test Drive
Test driving the simplified layering system by Ultradent. Restorative: Mosaic shades EN (Enamel Neutral), A3 with a multilayer flow base of A2 Permaflo Bonding system: Peak Universal Bond (Dentin bond […]
Read More
NonInvasive Tooth Whitening with Ultradent Opalescence
When properly designed custom bleaching trays are fabricated, the ultimate effectiveness of bleaching materials are optimized are are far superior and clinically safer to over the counter or mall-based whitening […]
Read More
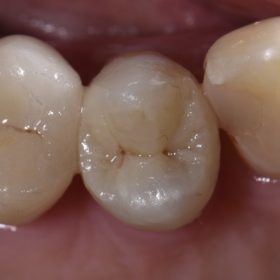
Class I GC Essentia U
Always love producing clean line emotion using #GC #EssentiaU #SkulptingSkool101
Read More