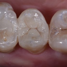
Pulpdent Activa Bioactive Liner and Base use in a deep posterior restoration
(Afternoon tea pics 979.9: Pulpdent Activa Base/Liner | StyleItaliano Whiteology P Shade) Afternoon alle, This 19 year old girl had a interesting cavitated lesion on #2P (1.7P) that […]
Read More
Photography is the key to success
(Afternoon tea pics 978.1: Photography) Always looking to marry up the perfect material for the restorative situation. Photography is the key to success.
Read More
Bioactive Liner Use in Restorative Dentistry
Deep restorations like this call for a bioactive ionic resin matrix liner like Pulpdent Activa Base/Liner (silly me, no photograph). It is both light and dual cured, and features a […]
Read More
Large leaking filling replaced biomimetically using Voco Grandio SO
Large Class II completed on this nice gentleman using the OG Supercomposite. #Voco #GrandioSO
Read More
Reconstructing a Core Ahead of Root Canal Retreatment
Instructions from endodontist ahead of post/core removal and endodontic retreatment: “Take off the crowns and place some provisionals.” =) And this is what we’re dealing with under the crowns. I […]
Read More
Recurrent Cavities under Old Fissure Sealants
Class I fissurotomies gone wild with recurrent caries. #Kulzer #VenusPearl #A2
Read More
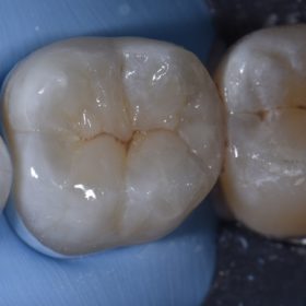
Whiteology P Shade Class II Restoration
#Direct #StyleItaliano #Whiteology #ChameleonEffect
Read More
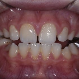
Retreatment of a restored central incisor with poor esthetics
Retreatment case for this 10 year old boy’s tooth #8 – it had a history of debonding and poor esthetics. Material: Empress Direct #IvoclarVivadent #Direct #EmpressDirect #SkulptingSkool #Subtleties
Read More
Cervical Cavities Restored to Look Better
Class V bangers to start the morning: yum…served up with #GC #EssentiaU
Read More
GC Essentia U Cervical Abrasion Restoration Replacements
Small Class V workouts with #GC #EssentiaU #singleshadechameleons
Read More