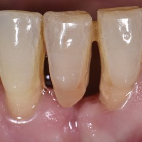
GC Essentia Class V
Class V’s are fun, but you know, space dust is a thing. I do like the chameleon effect of this so much though. #grr #GC #EssentiaU
Read More
Root Amputation of a Periodontally Splinted Front Tooth
Hi Tea(m), This is a solution that we used to eliminate a perio-endo lesion from a tooth that was part of a splint family, whilst maintaining splint esthetics as the […]
Read More
StyleItaliano Whiteology Back to Back Cavities Class II
(Afternoon tea pics 967.9: StyleItaliano P Shade Back to Back Class II’s) StyleItaliano P Shade Back to Back Class II. Isodam: standard. #styleitaliano #whiteology #restorativedentistry #chameleoneffect #garrison #Compositight3DFusion […]
Read More
Seamless Esthetics in a Dental Reconstruction Case
Severe trauma and head injury to this 18 year old man. 1 month reassessment. Such an honor to change a life as special as this one. Vital bleaching | Direct […]
Read More
StyleItaliano Whiteology on a Cracked Molar Restoration
Class II fun on this marginal ridge hairline fracture extending into dentin with #StyleItaliano #Whiteology P shade with some pseudo-operculum action that looks kind of perverted. Just for your Friday. […]
Read More
StyleItaliano Whiteology Class III restoration
Restorative material : #StyleItaliano #Whiteology P shade and #Kuraray #Majesty Esthetic flowable CV (cervical) shade as a liner.
Read More
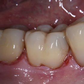
Cervical lesions restored with GC Essentia U
And just for comparison, #GC #EssentiaU Class V bangers on teeth 29-31B. I don’t know which one I prefer…
Read More
StyleItaliano Whiteology Premolar Reconstruction
(Afternoon tea pics 962.3: StyleItaliano Whiteology P Shade | Garrison Compositight 3D Fusion) Yes, the mesial marginal ridge hairline fractures look scary. But this dental colleague wanted me to […]
Read More
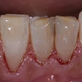
StyleItaliano Whiteology Single Shade Chameleon
Class V trials of #StyleItaliano #Whiteology #PShade continues in these difficult to access cervical abrasion lesions on some lower anteriors #chameleoneffect
Read More
StyleItaliano Whiteology P Shade Class V cervical lesion
(Afternoon tea pics 960.1: StyleItaliano Whiteology P Shade | Ultradent DermaDam) Flexing the chameleon effect of the new P Shade from StyleItaliano Whiteology in a Class V banger. […]
Read More