Warning: Undefined array key "post_type" in /var/www/vhosts/clarencetam.co.nz/httpdocs/wp-content/plugins/rmgallery2/core/public/rmg_rewrites.php on line 228
Dental Treatment News Blog Auckland NZ - Part 243
Skip to main content

Lifelike Dentures – it is possible!

(Afternoon tea pics 836.2: Vitapan Excell)   Morning Monday Warriors,   I really enjoy full dentures (especially upper ones, not the nightmarish floating lowers) as it allows one to practice […]

Read More

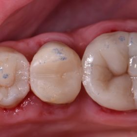
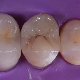
Implant Crowns Mimicking Nature

Screw-access biomimicry: Implant screw access occlusion using White Tint #EssentiaModifiers and AO2 #GC #GaenialAnterior along with #OptiglazeColor orange mixed with a tinge of brown for the triangular ridges.  

Read More
« Previous PageNext Page »