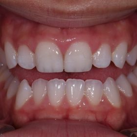
Closing Gaps Between Teeth | Digital Smile Design | AACD Accredited Cosmetic Dentist
Afternoon All, This case demonstrates the use of a DSD-driven approach to generating a diagnostic wax-up translating to a guided approach for a trilaminar variant of composite veneer to correct […]
Read More
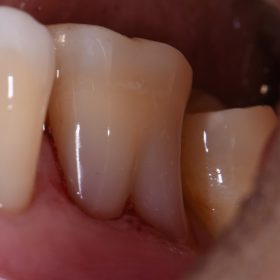
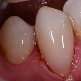
Severe Root Wear and Restoration | Restorative Dentist Auckland
Large awkward root Class V non-carious cervical abrasion lesions can be quite an interesting challenge. GC Essentia U offers a decent chameleon effect and ultimate skulptability even in weird locations. […]
Read More
ACC Tooth Fracture Replacement of Old Filling Material
Hi Guys, This is a one month reassessment of side-by-side Class IV fracture repairs using Ultradent’s Vit-l-escence Microhybrid composite system. The esthetic integration is great – the edge primary anatomy […]
Read More
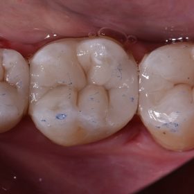
Removing Amalgam and Replacing with Precision Biomimetic Composite Restorations
Showing some Class II love and amalgam removal using Voco Grandio SO and Final Touch tints. #SkulptingSkool101 #Voco #GrandioSO #FinalTouch #OG #Supercomposite
Read More
Correcting Marginal Failure on Old Fillings | Restorative Dentist Auckland
(Afternoon tea pics 759.9: Kuraray Majesty ES-2 Classic) Large Class II replacements using the only Vita-approved (Vita-accurate) shaded composite system on the planet (truth is, you should test shades using […]
Read More
Closing Gaps Between Teeth | Digital Smile Design | AACD Cosmetic Dentist Auckland
Resin: Kerr Harmonize XL1 Enamel, XL2 Dentin, Clear. Bond: Kerr Optibond Solo Plus #SmileDesignerPro #Kerr #Harmonize
Read More
Removing Cracks in Teeth | Restorative Dentist Auckland
#venus #thebestagirlcanget #notgilette #kulzer
Read More
Sculpting Ceramic Fillings by Hand | Restorative Dentist Auckland
The world’s first all-ceramic composite system: ORMOCER-based #Voco #AdmiraFusion #TamDentalGroupNewmarket #TamDentalGroupDevonport
Read More
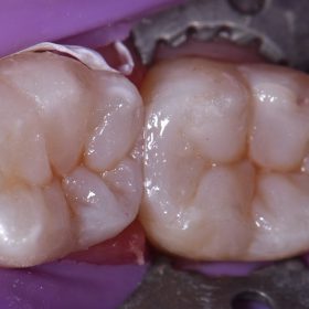
Amalgam Removal on my Assistant | Restorative Dentistry Auckland
Supercomposite completed with my new assistant Nicole, on my old assistant, V using #Voco #GrandioSO and #FinalTouch tinting magic.
Read More