Amalgam Removal and Biomimetic Dentistry
Afternoon tea pics 700.2: Kulzer Venus Pearl | Voco Final Touch Tints) Class II amalgam removal and biomimetic replacement with #Heraeus #VenusPearl Kulzer North America Kulzer Brasil Kulzer #SanctuaryNonLatex #VocoFinalTouchTints
Read More
Fixing Other Dentist’s Veneers: Ghost Teeth No More
(Afternoon tea pics 697.2: IPS e-max LT Smile ReDesign) Good evening guys, Smile re-design for some recently completed veneers on this 40 year old male’s 12 to 22 “Ghost Teeth” […]
Read More
Chameleon Effect Restorations: Class V caries
Removing recurrent caries in a tooth that has hypocalcification details with a single shade still has an acceptable blend with this chameleon boss. #GC #Essentia_U
Read More
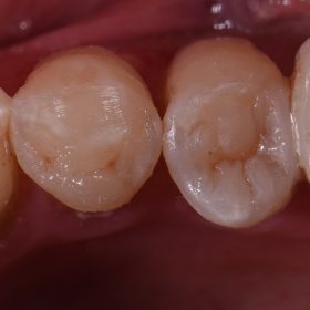
Amalgam Stained Teeth Transformed with Composite Bonding
Happy Friyay! The amalgam restorations exhibited recurrent caries in this case in which we only addressed the 44 and 45. The distal marginal ridge of 44 was completed with an […]
Read More
Transforming Dark Stained Teeth with Metal Fillings with Beautifully Skulpted Composite Resin Restorations
Happy Tuesday, Amalgam replacements using a single shade of Kulzer Venus Pearl A2 lined with HKA2.5 Kulzer Venus Pearl flowable. Both Omnimatrix (Ultradent) (45DO) and Garrison Compositight (46MO) used for […]
Read More
Rejuvenation using Composite Resin | Restorative Dentistry Auckland
Battle of the Class II chameleons continues. In this edition… #GC #Essentia_U. #Garrison #Compositight3DFusion #IsoDam
Read More
Replacement of Old Composite Fillings | Restorative Dentist Auckland
Happy Monday Guys, Here we had back to back Class II restorations with some marginal ridge hairline fracture removals. The mesial of 46 is completely stained and features arrested caries […]
Read More
Minimally Invasive Maximally Esthetic Dentistry Auckland
Just some nice little Class V bangers to finish out the week. #ClassVintegration #EstheticDentistry #Integration #MinimallyInvasiveMaximallyEsthetic #GC #EssentiaU #ChameleonEffect
Read More
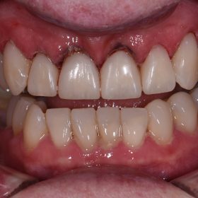
Full Dental Reconstruction | Occlusal Wear and Rehabilitation
(Afternoon tea pics 692.3: Ultradent EmiLuma | Lumiloc | Gemini Diode | G-Aenial Injectable&Anterior) Happy Humpday, It’s been a bit of a mission getting to this stage. Foundational restorations completed […]
Read More
Severe Enamel Dysplasia | Non-Invasive Restorative Dentistry
Very interesting localised advanced enamel dysplasia case with a no-preparation approach on an 8 year old female. Needed to work quickly. Barbie wasn’t quite as entertaining as I needed her […]
Read More