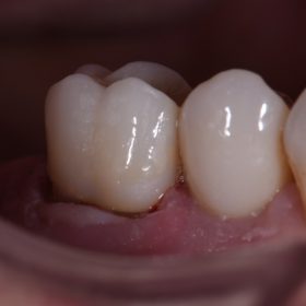
Root canal fillings | Making Teeth Look Like Teeth | Dentist Auckland
RCT Closure: #Venus #Pearl A2 #heraeus. Great blend even without hypocalcification maverick details.
Read More
Replacing Unsightly Old Fillings | Tam Dental Group Auckland
Started off the Tuesday with the old faithful – Essentia U for Class V’s. #ClassVbangers #SkulptingSkool #GlosslikeaBoss #GC #EssentiaU
Read More
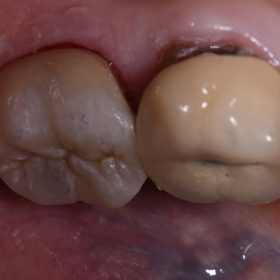
Beautiful Lithium Disilicate Crowns | Restorative Dentist Auckland
The secret weapon. LiSi for brightness and flexural strength. 500MPa flexural strength. #GC #lithiumdisilicateadvanced
Read More
Composite Crowns | Tam Dental Group Auckland
Happy Freitag, Sometimes, dentists want you to do the heroic, to go against the stream, to see what is possible with certain materials. This case featured a tooth that had […]
Read More
Cervical Abrasion | Toothbrush Abrasion | Restorative Dentistry Newmarket and Devonport Auckland
Class V’s with GC Essentia U on this Devonport patient. Supragingival margins on the 16MB aspect. Chameleon effect by this material is amazing. Have a stellar day. Kindest, Clarrie #GC […]
Read More
EMS Air Flow Stain Removal Around Braces
This case by Jay Kim, one of our amazing hygienists demonstrates how 15 minutes of AirFlow can be much less traumatic and much more effective relative to the ultrasonic scaler/hand […]
Read More
Removal of Amalgam Fillings | Restorative Dentist Auckland
Class II on a dentist using Voco Grandio SO and Voco Final Touch Brown tint. Good times, Clarrie
Read More
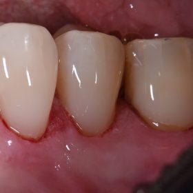
Biomimetic Dentistry | Crowns that look like teeth
GC LiSi MT pressed and sexified. #letsbehonest #secretweapon
Read More
Sealing off Deep Dental Decay | Conservative Restorative Strategies
Hello Monday, Monday sometimes gives you bombed out carious lesions that are so deep that you are forced to leave some before inevitable pulp exposure on a 15 year old. […]
Read More
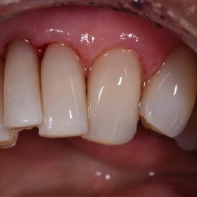
Can you see your fillings? We focus on producing invisible dentistry
Some irregularly-contoured, interesting old restorations replaced. Material: Kerr Harmonize shades A1 Enamel, A1 Dentin Bonding System: Total etch: Kerr Optibond Solo Plus Rubber dam: Sanctuary Black Latex Dam, Amtech Dental […]
Read More