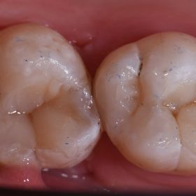
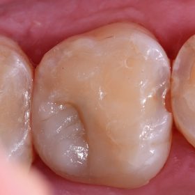
Tam Dental Group Ltd | Back to Back Posterior Resin Composite Fillings | Voco Grandio SO
Morning Hump(ers)Day, Back to back Class II replacements are best tackled one at a time. In the rare situation, if you can perfectly set up a back to back matrix […]
Read More
Large Fillings | Sculpted Composite Resin Artistry | Auckland Dentist
Huge Class II’s. Direct using Voco Grandio SO A2 with marginal ridge reconstruction using the Omnimatrix for tooth 26 and Garrison Compositight 3D Fusion to establish that firm contact. Have […]
Read More
Well blended Composite Resin | Cosmetic Fillings
Hello folks, Replacing old Class V restorations is really fun using a smart material like GC Essentia U. The Hi-Flo and Lo-Flo variant was used here in conjunction with some […]
Read More
Rejuvenating Old Crowns and Blocking Out Dark Tooth Color with Zirconia
Replacing old PFMs and blocking out dark stump shades with a stain and glazed Zenostar monolithic zirconia crown. #Zenostar #Biomimicry #NDS #TamDentalGroup #Ultradent #ExpertempA2
Read More
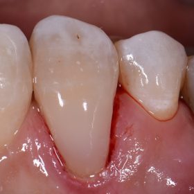
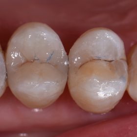
Replacing Old Fillings with Composite Resin Fillings
Class II replacements with Voco Grandio SO. Even with a dark, stained dentin base, this material has such an innate perfect ratio of translucency:opacity that a dedicated opaquer is very […]
Read More
Reconstructing Heavily-Filled Teeth
Happy Monday, Large Class II’s with an interesting 44M contact area that “conformed” intimately to the 43D axial wall, which was reproduced in a slightly ugly yet functional way. The […]
Read More
Mouth Ulcers | Acute Necrotizing Ulcerative Gingivitis | Laser Treatment
Hi Tea(m), This was an interesting case of (Acute) Necrotizing Ulcerative Gingivitis that I have followed after initial treatment from December, 2017. This 11 year old healthy male presented to […]
Read More
Stabilizing Molar Hypomineralization
Core buildup on tooth 26 ahead of transitional bonding to remove amalgam restorations and old defective enamel and optimize molar hypomineralized areas for bonding. Stay dry, stay fly, Clarrie #GC […]
Read More
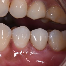
Battle of the Chameleons | Large Cavities Restored with Composite Resin
Direct massive Class II’s restored using Voco Grandio SO A2 on 26MODP and 27MOP (blushing against mesial pulpoaxial wall). G-Aenial Universal Injectable A2 used in slot prep of 26D aspect […]
Read More
Rebuilding Worn Teeth | Cosmetic Dentistry Auckland
More Class V bangers on 13B and 16B using GC Essentia U. See you guys at SkulptingSkool 102 on Saturday for some fun!
Read More