Rebuilding Wisdom Teeth back to Nature’s Intention
Bringing sexy back to this 28MO debonded restoration using Voco Admira Fusion A3. #VocoAdmiraFusion
Read More
Cervical Wear | Composite Fillings Auckland
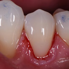
Class V’s – some deep subgingival stained decalcification that I couldn’t remove without “being aggressive” cervically on 34… so I just left it. Great chameleon effect nonetheless. #GC #EssentiaU
Read More
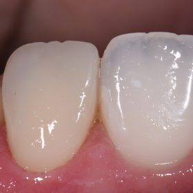
Rejuvenation of Dark, Cracked Teeth with Composite Veneers
Reassessment. #Vit_l_escence #Ultradent
Read More
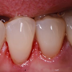
Non Carious Cervical Lesions | Cosmetic Dentistry NZ
(Afternoon tea pics 660.1: GC Essentia U | G-Premio Bond) Class V exhilaration courtesy of #EssentiaU #GC Bonding System: G-Premio Bond with 10-MDP, MDTP
Read More
Changing Tooth Shapes with Resin Bonding
Afternoon People, This nice young girl had bilateral congenitally missing lateral incisors with canine substitution. The patient was aware that the gingival zeniths of both 13 and 23 (12, 22) […]
Read More
Restoration of Severely Broken Down Teeth
Happy Freitag, Tooth 24 is virtually unrestorable but the patient wishes for me to see if I can do to salvage the tooth and do an “endocrown” or similar, so […]
Read More
Temporary Crowns Mimicking Nature
I had the opportunity to complete two quite large core buildups on these compromised teeth before fabricating my first-ever “bur-carved” provisionals from Ultradent Expertemp. Some GC Optiglaze Color tints were […]
Read More
Removing Cracks in Teeth | Composite Veneers
Evening folks, This nice 26 year old female desired visual removal of the cracks in her teeth, simultaneously with the goals of balancing symmetry, relieving chroma yet retaining much of […]
Read More
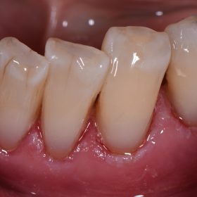
Turn Back Time with Tooth Wear | Cosmetic Dentistry New Zealand
Had the chance to finesse these Class V bangers today paired with incisal troughing and bonding to eliminate dentin staining from past traumatic occlusion. Bonding system: G-Premio Bond Restorative material […]
Read More
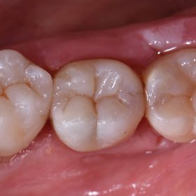
Quadrant Dentistry | Making the Visible Invisible
Quadrant dentistry with Ultradent Omnimatrix and Kerr Harmonize. Rubber dam could not be flossed through the 6 and 7 – the patient snaps floss in this location every day. Bonding […]
Read More