Resurfacing Composite Veneers | Cosmetic Dentist Auckland
Happy Tuesday! I saw this girl 6 years ago when she was 10 years old for layered composite restorations on both 11MIBL and 21MIBL. Since then, she has grown up, […]
Read More
Implant Soft Tissue Esthetics | Implant Crowns
This series emphasizes the importance of not just “winging” anterior implant crowns as soft tissue/pink esthetics are just as important as white esthetics. To properly support the tissue once the […]
Read More
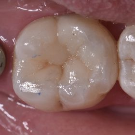
Amalgam Replacement with Composite Resin
#GC #EssentiaU utilizing a custom Essentia Modifier mix of RBM:W in this standard Class II amalgam replacement. #SanctuaryDams #AmtechDentalNZ
Read More
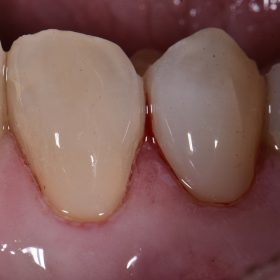
Old Filling Replacements | Composite Resin Artistry
Class V on my dad. #Voco #AdmiraFusionA3
Read More
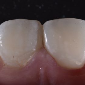
Composite Restorations | Tooth Wear | Abrasion
Simplicity with GC Essentia U. Don’t worry about the various shades in different teeth. It just loves to blend in. Just like high school. For some of us. Not me. […]
Read More
Porcelain Crowns | Dental Crowns Auckland | Tam Dental Group Ltd.
Happy Monday Folks, This was a single unit full coverage case where we chose to keep the margins well-supragingival – this offers advantages from ease of margin finishing in a […]
Read More
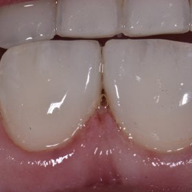
ACC Dental Emergencies | Tooth Fracture Cosmetic Bonding
Many practitioners and patients alike seek us regarding ACC Referrals for Dental Emergencies. Large Class IV fracture of tooth 11DIBL with a history of debonding 4 times before the patient […]
Read More
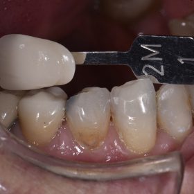
Mercury Removal | White Fillings | Dentist Auckland
Mercury fillings are removed safely under rubber dam isolation at our practice. White fillings are not made equal. Here we have an all-ceramic composite resin. Sounds like an oxymoron? Read […]
Read More
Replacing Worn Fillings | General Dentistry Auckland
(Afternoon tea pics 586.1: Voco Grandio SO A2) Worn restorations rejuvenated with Grandio SO. Compressive strength: 439MPa (enamel = 384MPa, dentin = 297MPa). #SuperComposite #Voco and #SanctuaryDams from #AmtechDental #ContrastDam
Read More
Amalgams and Cracked Teeth | Restorative Dentistry Auckland
Large amalgams with cracks are a crack with Voco Admira Fusion (no bis-GMA or conventional monomers. An organically modified ceramic exists here to bond to your adhesive layer). Great for […]
Read More