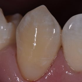
Dental Crowns | Restorative Dentist Auckland
Making heavily-filled teeth vital again requires a certain skillset. A dark stump shade normally forces the clinician to choose a more opaque ingot, fearing that the color may shine through. […]
Read More
Cosmetic Restorations | Cosmetic Dentist Auckland
Happy Thursday! These large, old composite resin restorations exhibited marginal breakdown and recurrent caries. The Palodent Plus system was used to build up each proximal wall at a time, and […]
Read More
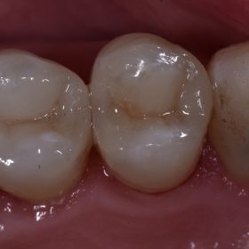
Amalgam Filling Removal | Restorative Dentist Auckland
Standard Class II amalgam replacement using Voco Grandio SO A2 chameleon effect with Final Touch Brown and White mixed tints.
Read More
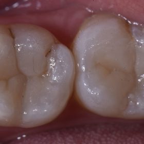
Mercury Amalgam Removal | Newmarket Cosmetic Dentist
This premolar featured proximal caries on the mesial interestingly emanating from leakage down the mesial aspect of the occlusal amalgam margin. The entire DO was replaced at the same time. […]
Read More
Removing Old Amalgam Restorations | Composite Resin Restorations | Cosmetic Dentist Auckland
Happy Tuesday! I’m really feeling the chameleon effect of the OSC (Original Supercomposite); the dental equivalent of OG (Original Gangsta). Even in a heavy-tetracycline staining case, A2 Grandio SO blends […]
Read More
Amalgam Removal || Safe Mercury Filling Removal || Newmarket Auckland Dentist
It is not always easy to remove mercury fillings safely. Our standard approach involves hermetically-sealed non-latex rubber dam as well as high suction evacuation, occasionally supplemented with oxygen as necessary. […]
Read More
Safe Mercury Filling Removal || Restorative Dentist Auckland
Our practice specializes in the safe removal of mercury restorations under rubber dam isolation and adjunctive evacuation to ensure maximal patient safety and optimal prognosis for bonded resin restorations. This […]
Read More
Beautiful Composite Artistry | White Fillings | General Dentist Auckland
Happy Humpday! BEautiful composite artistry is what we strive to do everyday! Warming up after the trip using some Cosmedent Renamel Nano Plus and Cosmedent Creative Color Dark Brown for […]
Read More
Revitalizing Old Fillings || Cosmetic Dentist Auckland
When you have a 84% filled packable supercomposite (!!) that thinks it’s a flowable! The defective margins around this 23B led us to replace this old filling with a […]
Read More
Aesthetic Restorations | Cosmetic Dentist Auckland
Happy Halloweeeeen! Aesthetic restoration replacements are our specialty, especially when it comes to replacing dirty old amalgams. This amalgam was pretty scary, featuring a vertical distoaxial hairline fracture that acted […]
Read More