Facial Aesthetics Auckland | Lip Fillers | Dermal Fillers | Botox | Dysport | Cosmetic Dentist Auckland
Morning, it’s Friyay! We have been getting quite a few enquiries about lip fillers but the common question is “how will it look immediately afterwards and will I be okay […]
Read More
Large Tooth Fracture Repair | ACC | Cosmetic Bonding Auckland
Happy Friyay, Huge Class IV fracture secondary to fracture on a 10 year old girl. Clear violation of biologic width, but parents wish to “see how she heals” before deciding […]
Read More
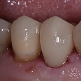
Challenging Crowns | Porcelain Crowns | Cosmetic Dentist Auckland
I’m so glad it’s humpday! This was a very difficult “I got ambushed” case with crown replacement on tooth 24 and conventional crown buildup on a structurally-compromised and severely-overfilled […]
Read More
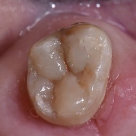
Composite Reconstruction of Teeth | Replacement Fillings | Cosmetic Dentist Auckland
Sometimes, crowning a tooth is not the only solution for structure replacement due to cavities or fractures. Here we see a case affected by old, leaking filling material and weakened, […]
Read More
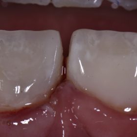
Safe Amalgam Removal | White Fillings | Invisible Fillings | Tooth Restorations | Cosmetic Dentist Auckland
Amalgams can be removed in a safe way whilst simultaneously reconstructing lost tooth structure with biomimetic (nature-mimicking) materials. Here, true artistry with composite resin is seen – striving for excellence […]
Read More
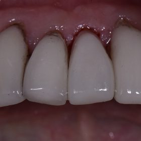
Porcelain Veneers | Cosmetic Dentistry Auckland
Porcelain veneers can cover a multitude of sins. Using a thin shell of handcrafted ceramic, dark and yellow teeth can be made to look virginal and white again. Porcelain is […]
Read More
Cosmetic Dentist Auckland | Composite Artistry | Composite Bonding | Partial Veneer
#statusposttrauma #barfight Kerr Harmonize shades A1E, A1D, Trans SuperClear, XL1 Enamel and White Tint #SkulptingSkool102 #TamDentalGroup
Read More
Lip Fillers | Facial Aesthetics | Cosmetic Dentist Auckland
Happy #Humpday! We were able to create more of a hump =) by augmenting the upper lip volume slightly more than the lower lip – one of the hardest procedures […]
Read More
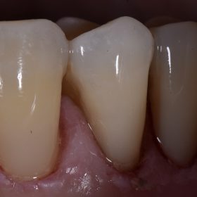
Mercury Removal | Amalgam Free | Minimal Invasive Crown Preparation | Restorative Dentistry | Cosmetic Dentist Auckland
Hello Wednesday Warriors, (Note: Preparation photos only to demonstrate how minimally invasive a crown can be – all the old amalgam is removed, and the core is built up using […]
Read More
Mercury-Free Fillings | Wear Repair | Composite Resin Front Teeth
With modern bonding technology, we often don’t need to drill at all to reverse years of damage on teeth. This case is a prime example. This lady had years of […]
Read More