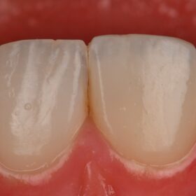
Ultradent Forma Composite Class IV restoration
A freehand stratified Class IV blunt trauma repair was completed for this lovely 15 year old female. Shades used: A1D, WE, Trans, white tint. #UltradentForma #bluntdentaltrauma
Read More
Peripheral Rim Fracture Considerations in Cavity Design
It’s always difficult to decide which vertical hairline fractures to chase in a compromised peripheral enamel rim. Chasing and selectively removing the significant hairline fractures with penetration past the DEJ […]
Read More
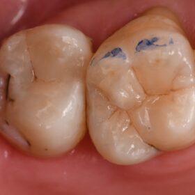
Insidious caries under an old fissure sealant
Caries noted in the 2nd shot was subsequently removed, but just goes to show how “sealants” that don’t seal are really dangerous re: insidious caries progression. #KerrSimplishade #SneakyCaries
Read More
Complex Composite Resin with Pulp Exposure Management
A long-term complex transitional direct restoration was completed on these molars prior to planned orthodontics to remove cracks and stabilize the tooth structure with full coverage indirect planned for immediately […]
Read More
Simplishade Bulk Fill Flowable with Simplishade Universal
Class I direct raw. Skulpting completed using the TNTAMKIT from @hufriedy Restorative: Kerr Simplishade paired with Simplishade Bulk Fill Flowable makes for an efficient esthetic solution for all posterior direct […]
Read More
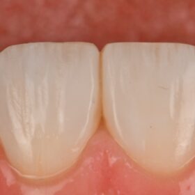
Voco Amaris Composite Veneers
This lovely patient declined pre-prosthetic orthodontics and only wanted to complete composite veneers on #8 and 9 for a more confluent anterior archform. Substrate Optimization #Aquacare Restorative #VocoAmaris
Read More
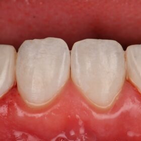
Hypomineralized incisor reconstructed with a fixed retainer in place
Just your average Class IV hypomineralization fracture repair with a fixed lingual retainer in place. Axial contour made efficient using the Garrison Dead Soft matrix band oriented vertically. Supercomposite layering […]
Read More
Predictable Contacts with Garrison Compositight 3D Fusion
Direct resin with the superduo #VocoGrandioSO #GarrisonCompositight
Read More
Extreme Deep Margin Elevation using Rhondium’s wedge
Extreme DME case using the Rhondium DME wedge in sequence with the Garrison Compositight system with a supercomposite placed incrementally to support what little is left of this extremely-compromised second […]
Read More
Supercomposites in Action with Voco
(Afternoon tea pics 2244.4: Voco Grandio SO | Garrison Dental Solutions – North America) #VocoGrandioSO #GarrisonCompositight VOCO GmbH – The Dentalists VOCO Philippines
Read More