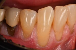
The further apical the root abrasion, the more difficult the mechanical access in my hands.
A single shade of A3 G-aenial A’Chord was used and you can see that the root abrasion abutting the old PFM crown on the second bicuspid will not be matched without a “hyperopaque” composite.
#GCGaenialAchord #ClassVabrasion #rootabrasionrestorations
