Skip to main content
Menu
800 PH 4 TEETH
Home
About Our Practice
About Our Practice Overview
About Dr Clarence Tam
Our Dream Team
Bite Lab
®
Dental Mixing Deck
Standard Pricing
New Patient Registration Form
Testimonials
Publications
Lectures and Workshops
Practice Partners
Our Services
Our Dental Services
Dental Hygiene Therapy
Cosmetic Dentistry
Cosmetic Dentistry Treatments
Smile Analysis, Dental Imaging, & Design
Porcelain Veneers
Composite Veneers
Invisalign
®
Teeth Whitening
Laser Gum Recontouring
Smile Makeover
Esthetic Restorations
Cosmetic Bonding
Restorative Dentistry
Restorative Dental Treatment
Dental Implants
All-on-4
®
Secure Dentures
Complete and Partial Dentures
Dental Bridges
Dental Crowns
Regaining Function
Repairing Damaged Teeth
Orthodontic Treatment
Orthodontic Treatment Overview
Invisalign
®
Invisalign
®
Teen
SureSmile
®
Retainers
Preventative Dental Care
Family Dentistry
Preventative Care
Routine Cleanings
Exams and Treatment Planning
Advanced Care
Advanced Care Overview
Sleep Apnoea and Snoring
Tooth Extractions
Cosmetic Injectables and Dermal Fillers
Laser Gum Recontouring
Gallery
FAQs
Blog
Contact
Devonport
9-445-4574
2A Fleet Street ,
Devonport, AK 0624
Newmarket
800 PH 4 TEETH
(800 74 4 83384)
9-524-8399
Upstairs, 18 Morrow Street ,
Newmarket, AK 1023
Tam Dental Group Cosmetic + General Dentistry
Class V bangers with Essentia U
Home
/
Blog
/
Class V bangers with Essentia U
August 16, 2023
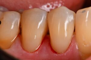
Class V bangers #GCEssentiaU
Previous Post
Next Post