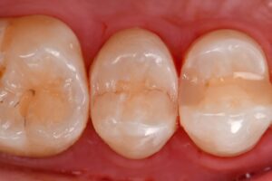
Some slick slot work completed using microlayering (Clearfil AP-X Esthetics flow) and AP-X ES-2 Universal U in conjunction with the Garrison Compositight 3D system on a Oral Design Member’s daughter.
#GarrisonCompositight #KurarayNoritake #ClearfilMajesty #ClearfilAPX #ConservativeDentistry #MID
