(Afternoon tea pics 1788.2: Voco Amaris | IPS e-max)
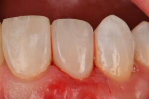
Simple 3 tooth combination direct-indirect restorations on teeth #7, 8 and 9 with pre-prosthetic surgical crown lengthening. The latter two were completed using Voco Amaris.
#IPSemax #VocoAmaris #TSE Ivoclar VOCO VOCO GmbH – The Dentalists Shinichiro Tsuji
