(Afternoon tea pics 2239.4: Matrix in Matrix | Garrison Dental Solutions – North America | Kerr Simplishade)
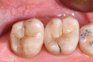
Complex direct resin reconstruction of these two heavily-restored molars. The Rhondium DME wedge was utilized to “even out” the irregular cavosurface margin to create a more linear adaptation. Matrix in matrix (Omnimatrix, Ultradent Products, Inc. and Dead Soft Matrix band, Garrison Dental Solutions – North America) utilized to control a wall-by-wall conversion of these large Class II’s to Class I situations. Dark dentin bases neutralized using a superwhite opaque flowable in microlayers. Kerr Simplishade Bulk Fill flowable was used in a single shade for the microincrements that represented the layered base Marginal ridges and capping composite comprised a single-cloud shaded composite.
#KerrSimplishade
#Matrixinmatrix #Ultradent
#GarrisonCompositight
