(Afternoon tea pics 1210.5: Voco Die Silicon | Voco Grandio SO | Voco Final Touch)
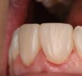
Semi-direct composite crowns completed on indirect A-silicone model after rough crown preparations to remove defective dentin (see pre-op radiograph for extent of caries/compromise due to hypoplastic and hypocalcified variant of Amelogenesis Imperfecta in this 12 year old female.
Model: Voco Die Silicon (A-silicone) : red
Restorative: Voco Grandio SO A2
Tints: Voco Final Touch Brown.
Gute Nacht.
#Voco #GrandioSO #DieSilicone #FinalTouch #SemiDirectComposite VOCO GmbH – The Dentalists
