(Afternoon tea pics 1815.5: Voco Amaris | Voco Final Touch)
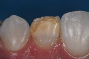
Here is a case where resin infiltration is not indicated. Surface breakdown renders that technique ineffective. Conservative reduction and composite layering is the most conservative approach. Voco Amaris was utilized in a stratified fashion to create internal detail and simultaneously lift the value of the tooth. Effects were applied using Voco Final Touch white and High Translucent flowable.
Our thoughts go out to Tayla Patterson today and this post is dedicated to her.
#VocoAmaris #VocoFinalTouch #CompositeStratification #CompositeLayering #CompositeVeneers #CosmeticDentistry #MinimallyInvasiveDentistry VOCO GmbH – The Dentalists
