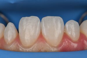
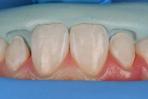
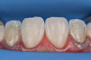
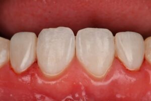
Digital Smile Design (DSD)-guided composite veneers to correct peg laterals. White maverick effects placed to mimic natural hypocalcified flecks in the pre-operative situation.
Dentin shade required a custom blend of O1:OBleach to reach the desired value.
Enamels: HT, TL
#layeredcompositeartistry #compositeveneers #cosmeticdentistnz #peglateralrestorations






