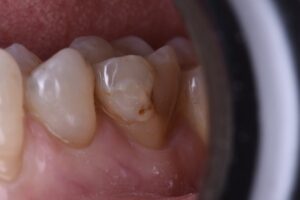
March 25, 2021 Not quite a Class V, but gnarly enough (near pulp exposure). #GC #Essentia U Previous Post Next Post