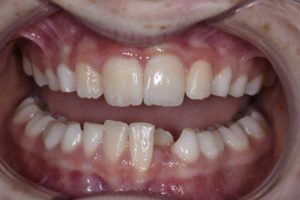
January 14, 2020 Changing this 9 year old’s life for the better with simple trilaminar layering using #Kerr #Harmonize Previous Post Next Post