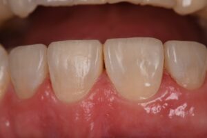
June 7, 2023 Layered composite edge bonding using #VocoAmaris to rejuvenate this lovely man’s smile. Previous Post Next Post