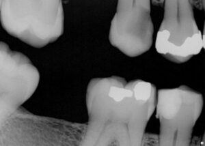
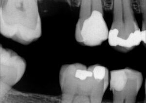
Extreme DME case using the Rhondium DME wedge in sequence with the Garrison Compositight system with a supercomposite placed incrementally to support what little is left of this extremely-compromised second bicuspid.
#VocoGrandioSO #RhondiumDME #GarrisonCompositight
