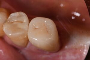
May 29, 2023 Even teeth with attachment loss deserve to live their best life. Full coronal indirect restoration on this lower right second bicuspid with bonded e-max. #TheShinEffect #IPSemax #goodlookingcrown Previous Post Next Post