Skip to main content

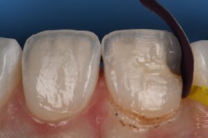
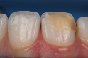
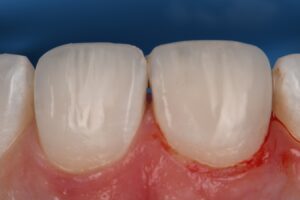
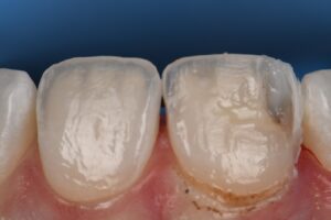
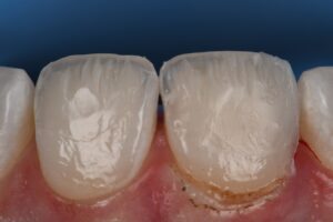
Just your average Class IV hypomineralization fracture repair with a fixed lingual retainer in place.  Axial contour made efficient using the Garrison Dead Soft matrix band oriented vertically.

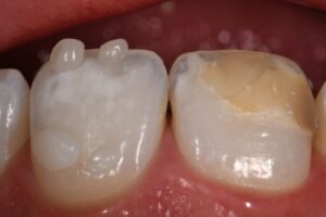
Supercomposite layering with #UltradentForma
Soft tissue recontouring completed using the Superpulsed dual wavelength diode laser #UltradentGemini