Home/Blog / Large cavities made invisible
April 15, 2019
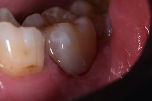
Large Class V banger. #GC #EssentiaU #thechameleon