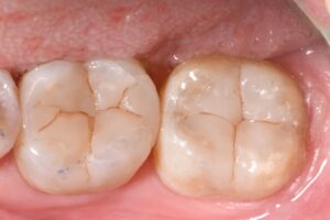
This type of case feels like going 12 rounds. Heavy lifting by the dynamic duo.
#KerrSimplishade #GarrisonCompositight
Flexural strength: 123.6MPa
Compressive strength: 358MPa

This type of case feels like going 12 rounds. Heavy lifting by the dynamic duo.
