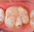
Some microdentistry and an amalgam replacement for this lovely man. No need for any shade selection in particular, this one matches everything =)
#KurarayMajestyESUniversal #chameleoncomposites #LDT #lightdiffractiontechnology

Some microdentistry and an amalgam replacement for this lovely man. No need for any shade selection in particular, this one matches everything =)
