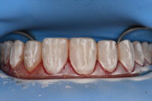
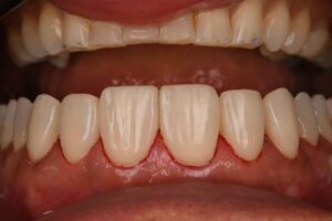
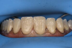
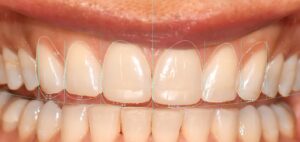
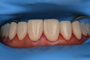
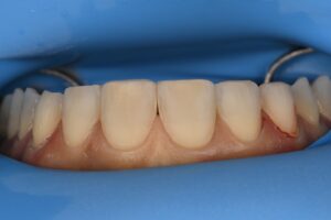
Concerns addressed:
*Composite caps that were visible
*Desire for natural, completely uniform and lighter shade of anterior sextant
*No desire for pre-prosthetic whitening
*Request to support buccal corridors with inclusion of 5 and 12
*Overly “bulbous” looking teeth with cervical markings
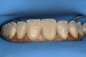
Strategy:
*DSD-driven protocol
*Minimal preparation (0.2-0.3mm) to debulk teeth in certain areas
*Laser gingival recontouring ensuring maintenance of biologic width on 6 and 11 #Ultradent Gemini
*Total etch adhesive protocol: i) Aquacare 29 micron aluminum oxide, ii) Aquacare Sylc CaNaO6PSi, iii) Peak Universal Bond
*Stratified composite restorations: A1E, A2D, Trans, white tint (only enamel shaded composite required cervical 1/2 as well supported and minimal thickness).
#UltradentForma
