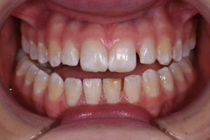
December 18, 2019 Peg lateral correction using Empress Color and Empress Direct. #IvoclarVivadentNZ Previous Post Next Post