Skip to main content

Happy Monday Folks,

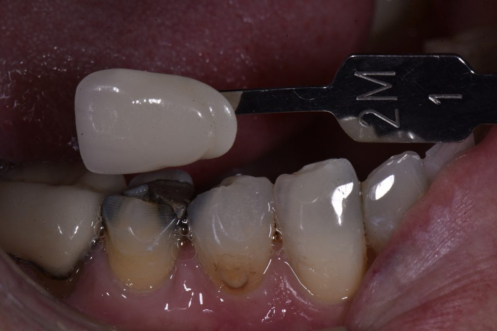
This was a single unit full coverage case where we chose to keep the margins well-supragingival – this offers advantages from ease of margin finishing in a bulk of enamel (remember, cervically enamel tapers to 0.3-0.5mm) for bonding to avoiding violation of biologic width. There is no need to drop the margin to equigingival level unless a marked color change is desired. Even then, internal bleaching if possible offers the possibility of less tooth reduction and an extended/optimized restorative prognosis.

IPS e-max MT was used in this case.

Have a great, super muggy but happy evening.

Clarrie

#Ivoclar #e_maxMT #NewmarketDentalStudio