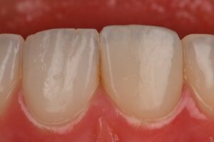
Custom dentin blend to balance the value/brightness of this traumatized tooth. Maverick effects created using a combination of white and blue to accentuate both halo and translucency details in the incisal window.
#VocoAmaris #VocoFinalTouch #CompositeArtistry
