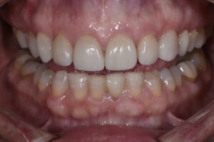
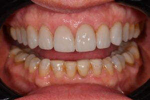
July 31, 2023 Do you notice the differences? Subtleties in porcelain esthetic rehabilitation redefined with this DSD-driven microlayered lithium disilicate solution. #IPSemax #ThankstoTSE Previous Post Next Post