Skip to main content

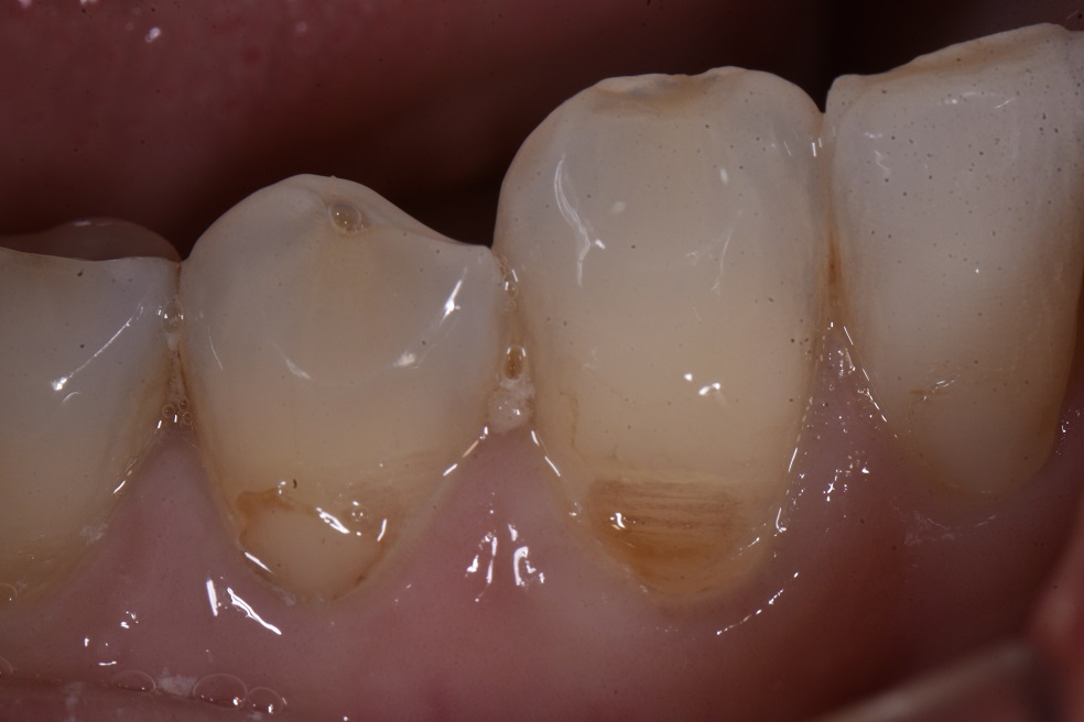
Non-carious cervical lesions or Class V’s are such a breeze with this one material. One material to simply your life and put that smile on your dial. Universal shade = 50:50 ratio of A2:A3.

Have a brill evening,

Clarrie x

#GC #Essentia #LoFlo #ChameleonEffect