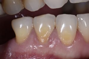
October 11, 2020 (Afternoon tea pics 1343.7: GC Essentia U) Reinforcing and protecting cervical abrasion lesions whilst simultaneously sexying up these teeth. #GC #EssentiaU #ClassVbangers GC Australasia Dental GC America Inc. Previous Post Next Post