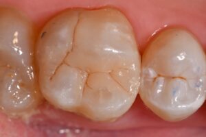
Skulpting our way to a very naturomimetic result with the “uber-nice handling” Kerr Simplishade with contours provided courtesy of the #GarrisonCompositight3DFusion.
#Simplishade #Compositight3DFusion #PosteriorDirectEsthetics #PosteriorRestoration
 
 
 
 
Skulpting our way to a very naturomimetic result with the “uber-nice handling” Kerr Simplishade with contours provided courtesy of the #GarrisonCompositight3DFusion.
#Simplishade #Compositight3DFusion #PosteriorDirectEsthetics #PosteriorRestoration
 
 
 
 