(Afternoon tea pics 1867.9: Voco Amaris | Garrison Dental Solutions – North America Slick band)
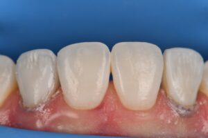
NB: full rubber dam isolation not possible as fixed lingual retainer from 8-9 in place.
Freehand emergence profile completed using the Garrison Slick band utilized in the conventional orientation on the distal aspects. Garrison Slick band used in an end-down orientation for the mesial marginal ridges. Works a treat.
Voco Amaris: OBleach, TL, HT, white tint.
#VocoAmaris #GarrisonCompositight VOCO VOCO GmbH – The Dentalists
