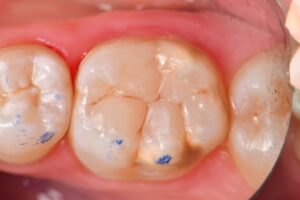
December 17, 2025 Simple invisible direct Class I. ART3 technology to modulate shrinkage stress and improve durability. #KerrSimplishade Vitals: Compressive strength: 358MPa Flexural strength: 110MPa Previous Post Next Post