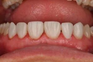
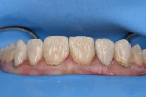
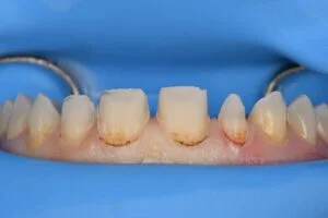
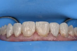
(Afternoon tea pics 2230.3: Ultradent Forma | Ultradent Gemini)
Social Six stratified composite veneers
// Placed with DSD-guided gingival recontouring with Ultradent Gemini dual-wavelength Superpulsed diode laser
// Layered application of Ultradent Forma, which contains silanated zirconia and ytterbium trifluoride for optimized opalesence, fluoresence, translucency and strength
Ultradent Southeast Asia Ultradent Products, Inc.
