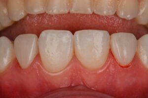
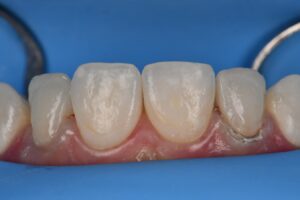
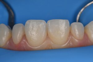
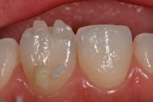
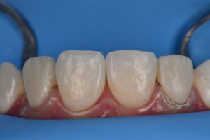
(Afternoon tea pics 2222.2: Ultradent Forma Composite Veneers)
// Stratified Composite Veneers feat. Ultradent Forma (zirconia and ytterbium trifluoride) for optimal translucency, opalescence, radiopacity and fluoresence.
Gingival recontouring: Ultradent Gemini dual wavelength diode – 810nm, 980nm Superpulsed.
Dentin shade: 50:50 ratio of A1D:WD
Enamel shade: WE
Translucent: Trans
Effect shade: White tint
Vitals:
Compressive: 451MPa (enamel 384MPa, dentin 297MPa)
Flexural strength: 160MPa (dentin 165.6MPa)
#ultradentforma #supercompositeveneers
