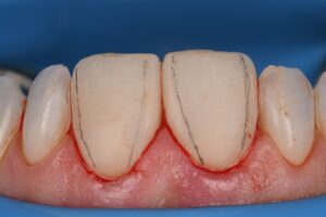
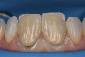
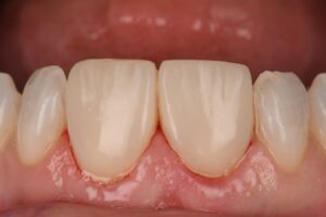
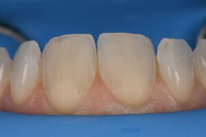
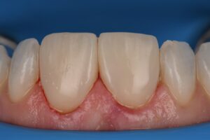
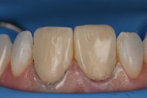
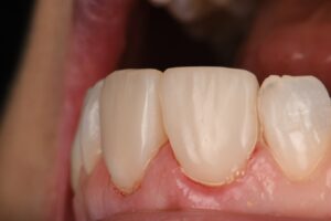
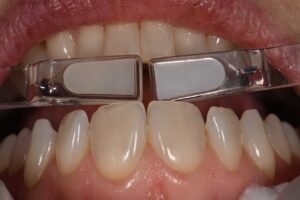
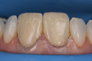
April 9, 2026 This lovely patient declined pre-prosthetic orthodontics and only wanted to complete composite veneers on #8 and 9 for a more confluent anterior archform. Substrate Optimization #Aquacare Restorative #VocoAmaris Previous Post