Warning: Undefined array key "post_type" in /var/www/vhosts/clarencetam.co.nz/httpdocs/wp-content/plugins/rmgallery2/core/public/rmg_rewrites.php on line 228
2018 | Tam Dental Group - Part 22
Skip to main content

2018

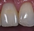
Old Crusty Restorations Rejuvenated | Restorative Dentistry Auckland

The Nano-Classic in action again. Voco Grandio A3 Classic. Rubber dam courtesy of #SanctuaryDams from #AmtechDental #FinalTouchTints #TheGodfather

Read More

Planning Pink Esthetics | Gum Recontouring | Dental Implant Crown

Temporary implant crowns are invaluable to generating pink esthetic predictability in your esthetic implant cases. This case has been stabilizing the soft tissue position for 3 months, gently recontouring the […]

Read More

Dental Cavities | White Fillings | Dental Excellence Auckland

Dental cavities sometimes are much larger and deeper than we anticipate. The important thing to keep in mind is the maximum conservation of residual tooth structure and well-contoured, well-placed white […]

Read More

Temporary Filling Replacement | White Fillings Auckland

Temporary fillings are placed for a variety of reasons – either financial constraints, or deep decay in the tooth, which can be arrested and stunted before full removal. This approach […]

Read More

Fixing Cracked Teeth | Beautiful Dentistry | Cosmetic Dentist Auckland

Cracked teeth are hard to restore beautifully. This 37 had a mesial vertical greenstick fracture with recurrent caries. After micro air abrasion with 27 micron aluminum oxide and a selective […]

Read More

Fragment Reattachment on Tooth | Restorative Dentist Auckland

3 week reassessment after fragment rebonding and sectional restoration with Kerr Harmonize on 21MIBL.

Read More

Safe Amalgam Removal | White Fillings | Restorative Dentist Auckland

We safely remove amalgam fillings and precisely sculpt bonded composite resin to a the highest standard. The sequence.  Large Class II’s.  Hu-Friedy StyleSkulpt in action. Clarrie x #hufriedy #styleskulpt #teethbytam […]

Read More

Scrubbing Enamel Away | White Composite Restorations

It is a common problem when we brush too hard and scrub away our enamel, leaving dentin exposed, which not only is sensitive, but wears six times faster than enamel […]

Read More

Tissue Emergence Profile Around Implants | Precision Cosmetic Dentistry Auckland

Provisional emergence profile shaping via temporary implant crowns provides the template for the final implant crown. Precise tissue levels are formed through custom shaping of the gingival margin position. This […]

Read More

Smile Makeover | Extreme Makeover | Laser Gum Surgery

Our practice specializes in providing digital smile design-driven solutions for all of our smile makeovers. Extreme results are possible and predictable with precision in planning. This DSD-driven case utilized multi-layered […]

Read More
« Previous PageNext Page »