All ceramic crown solutions for heavily-restored teeth
Home/Blog / All ceramic crown solutions for heavily-restored teeth
July 29, 2020
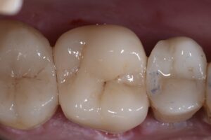
(Afternoon tea pics 1253.3: IPS e-max MT)
Full coverage indirect solution for recurrent caries on this complex old composite restoration. Thanks as always, #TheShinEffect for the artistry and the FTD (fitsthatdrop).