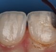
December 4, 2023 Triangular no more. Black triangle minimization completed on #8 and 9 with the Varistrips from Garrison and a single shade of A2 G-aenial A’Chord from GC #GCGaenial #GarrisonDentalSolutions Previous Post Next Post