Skip to main content

Ultradent Forma Composite Veneers

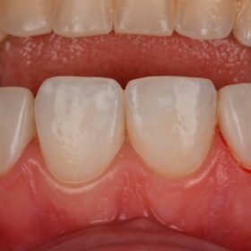
(Afternoon tea pics 2222.2: Ultradent Forma Composite Veneers) // Stratified Composite Veneers feat. Ultradent Forma (zirconia and ytterbium trifluoride) for optimal translucency, opalescence, radiopacity and fluoresence. Gingival recontouring: Ultradent Gemini […]

Read More

DME and pericrestal caries with matrix in matrix

Direct complex restoration featuring peri-crestal caries // Substrate Optimization using 29 micron Al2O3 particles #AquacareUK #VelopexUK // DME using Omnimatrix and Matrix-in-matrix using #Omnimatrix/Garrison Dead Soft Bands // Wide 2-stage […]

Read More
Next Page »